Idegen testek Kedvenceinkben: toklásztól a fülhallgató zsinórján át a műanyag játékig
- Minta Mária
- 2020. okt. 1.
- 3 perc olvasás
Idegen testek Kedvenceinkben. Ez nem egy hollywoodi film címe, hanem Állatkórházaink valósága, hiszen szinte nem telik el úgy hét, hogy ne találnánk toklászt, tüskét, üvegszilánkot kutya vagy cica bőrébe, szemébe fúródva vagy fülébe kerülve, vagy kavicsot, gesztenyét, műanyag kupakot vagy akár a fülhallgató zsinórját lenyelve, négylábú társunk bélrendszerében valahol elakadva.
Mik lehetnek ezek az idegen testek, milyen tüneteket okozhatnak, és mit tehetünk, ha a baj bekövetkezett?
A négylábúink szervezetébe került idegen testeket két csoportba oszthatjuk: vagy sétáik (csavargásaik) során kapaszkodnak meg szőrükben-bőrükben, kerülnek fülükbe-szemükbe-orrukba, vagy pedig lenyelik őket, mert kutyáink és cicáink kíváncsi, játékos lények, ragadozó lényükből következően pedig lételemük a dolgok levadászása és megkóstolása, akkor is, ha a zsákmányuk csak szerintük ehető.
Az, hogy melyik eset előfordulása a gyakoribb, lehetetlen eldönteni.
A nem lenyelt idegen testek okozta tünetek attól függenek, hogy hova kerültek.
Ha az idegen test a szembe, az orrba, a fülbe vagy a bőrbe jut
A szembe jutva fokozott könnyezést, kipirult kötőhártyát tapasztalhatunk, kutyánk vagy macskánk hunyoroghat, nem szívesen nyithatja ki a szemét, esetleg mancsaival is dörzsölheti, tovább rontva a helyzetet. Ilyenkor legtöbbször altatásban távolítható el a tüneteket okozó idegen test, és csak az eltávolítás után mérhető fel pontosan, hogy miként károsította a szem szöveteit.

Szembe fúródott idegen test
Az orrjáratokba felszippantott idegen test (általában toklász) legtöbbször hirtelen kialakuló, heves tüsszögést okozhat, később az adott orrjáratból véres (akár gennyes) orrfolyást is tapasztalhatunk. Ilyenkor szintén altatásban, endoszkóp segítségével lehet az elakadt idegen testet eltávolítani.
Ha az idegen test a hallójáratba kerül, akkor fülgyulladást okozhat: ilyenkor a fül fájdalmas, négylábúnk sokszor vakarja (ennek nyomait láthatjuk a fül és környékének szőrén-bőrén), akár fejét oldalra is tarthatja. A fülből váladék (akár véres-gennyes) szivároghat, melynek kellemetlen szaga is lehet. Ha a dobhártya is megsérül, akkor a gyulladás átterjedhet a fül belsejébe is. Az idegen test eltávolítására és az általa okozott szövetkárosítás felmérésére altatásban kerülhet sor, a gyógykezelés (antibiotikum, gyulladáscsökkentő) a tünetek függvénye ebben az esetben is.
A bőrbe fúródott idegen test helyi gyulladást okozhat, annak minden tünetével együtt: fájdalom, duzzadt, melegebb, kipirult bőr és funkció kiesés. A tünetek az idő előrehaladtával súlyosbodhatnak, tályogok is kialakulhatnak. A toklász, tüske, üvegszilánk vagy bármi más idegen test eltávolításához gyakran ilyenkor is altatásra van szükség.

Bőrbe fúródott tüske eltávolítás után
A lenyelt idegen testek sorsa
Nagyon változatos, hogy mi kerül négylábú társaink többé-kevésbé emészthetetlen zsákmányainak listájára: lehet ez kavics, csont, halszálka, műanyag vagy alufólia csomagolás, bot, fonál, zokni, szalámi műbél, és a sort hosszan lehetne folytatni, nagyjából bármivel.
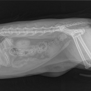
Gyomorból eltávolított műanyag játék egy darabja, bélből eltávolított műanyag kupak, a röntgen képen pedig lenyelt fülhallgató zsinórja a gyomorban
Noha egyes idegen testek eseménytelenül (és sokszor észrevétlenül is) jutnak át a bélrendszeren, ha valamilyen oknál fogva elakadnak, akkor az eltávolításuk (endoszkópos vagy műtéti) legtöbbször az egyetlen kezelési mód. Ha láttuk, hogy kutyánk vagy macskánk milyen idegen testet evett meg, és az hánytatással a gyomorból biztonságosan eltávolítható, akkor erre is sor kerülhet.
Ahogy látjuk, az idegen testek lehetnek tömörek (pl. kavics, gesztenye), lehetnek üregesek (pl. csont), anyaguk pedig bármi lehet. Az ún. lineáris idegen testek (pl. fonál, zokni, műbél) külön csoportot képeznek, mert másféle problémákat okozhatnak a bélrendszeren belül.
A szájüregen át a bélrendszerbe jutott idegen testek több anatómiai képletnél vagy szűkületnél is elakadhatnak: nyelvgyök (pl. lineáris idegen testek macskákban), a nyelőcsőben két helyen, a gyomor kijáratánál, a vékonybélben, a vékony- és vastagbél határán, és prosztata megnagyobbodásban szenvedő kutyáknál a prosztata okozta szűkület is problémát okozhat.

A vékonybélben elakadt műanyag kupak
Milyen tüneteket láthatunk?
· nyálzás
· köhögés
· hányás
· hasmenés
· hasi érzékenység vagy fájdalom
· csökkent étvágy
· kevesebb bélsár ürül
· erőlködik, de nem tud bélsarat üríteni
· levertség, bágyadtság, kedvetlenség
· púposítás a hasi fájdalom miatt
· viselkedésbeli változások, például harapás vagy morgás, ha ölbe vesszük, felemeljük vagy a hasához érünk

Fogínybe fúródott toklászok
Hogyan lehet diagnosztizálni a gyomor-bélrendszerbe került idegen testeket?
Ha a kórelőzmény, a tünetek és a fizikális vizsgálat felvetik az idegen test gyanúját, akkor röntgen- és/vagy ultrahangvizsgálatra van szükség. Ha az idegen test nem ad röntgen árnyékot (azaz így nem látható), akkor kontrasztanyag segítségével lehet kimutatni a részleges vagy teljes elzáródást, vagy pedig magát a lenyelt tárgyat.
Hogy lehet kezelni a bélrendszerbe jutott idegen testek okozta kórképeket?
Általában a gyomor- bélrendszerbe került idegen testek műtéti vagy endoszkópos eltávolítása egyszerű és jó prognózisú mindaddig, amíg gyorsan diagnosztizálják őket. A beavatkozásig eltelt idő kritikus, mivel az idegen testek miatt kialakult részleges vagy teljes elzáródás rontja vagy megszünteti ezen létfontosságú szövetek vérellátását. Így akár már néhány óra alatt a nyelőcső, gyomor vagy bélrendszer fala elhalhat, átszakadhat és súlyos, akár az állat életét is veszélyeztető állapot jöhet létre.
Szövődményként felborulhat az ionháztartás, hashártyagyulladás, endotoxémia, szeptikémia, veseelégtelenség alakulhat ki.
Lineáris idegen testek
A lineáris idegen testek képesek eseménytelenül átjutni a gyomor-bél traktuson vagy hosszabb ideig elfeküdni a gyomorban, de jellegzetes kórképet okozhatnak, ha az egyik végük beakad, és a fennmaradó részüket a bélperisztaltika tovább mozgatja, így a bélkacsok felfűződhetnek az idegen testre, és egy idő után a bélfalat is átmetszheti a lenyelt idegen test. Ezekben az esetekben is nagyon fontos tényező az idő, minél hosszabb idő után kerül sor a beavatkozásra, annál nagyobb a műtéti kockázat.










Hozzászólások